在现代生物科技飞速发展的背景下,重组蛋白的应用愈发广泛,从蛋白结构研究、新药发现,到生物药生产、免疫检测试剂开发等商业领域,再到ELISA、免疫实验、细胞实验等科学研究场景,都离不开高质量的重组蛋白。而蛋白表达服务作为获取重组蛋白的关键环节,其技术水平与服务质量直接影响着相关项目的推进效率与成果。青云瑞晶凭借在结构生物学领域的深厚积累,打造了专业、高效的蛋白表达服务,为科研机构与企业提供强有力的技术支持,推动生物科技领域的创新突破。

一、青云瑞晶蛋白表达服务的核心内容
青云瑞晶的蛋白表达服务围绕不同类型的靶蛋白展开,精准覆盖科研与医药领域的多样化需求,主要涵盖以下几类核心蛋白:
1、激酶
作为细胞信号传导中的关键分子,激酶在疾病发生发展中扮演重要角色,是新药研发的重要靶点。青云瑞晶针对各类激酶蛋白的特性,优化表达方案,确保获得高活性、高纯度的激酶蛋白,为激酶功能研究与相关药物筛选提供保障。
2、水解酶
广泛参与生物体内的物质代谢与信号调控过程,在工业催化、疾病诊断等领域具有重要应用价值。青云瑞晶通过成熟的表达系统,实现水解酶的高效表达,满足不同场景下对水解酶活性与纯度的严苛要求。
3、泛素化相关蛋白
泛素化修饰是一种重要的蛋白质翻译后修饰方式,与细胞周期调控、凋亡等多种生命活动密切相关。青云瑞晶专注于泛素化相关蛋白的表达研究,能够提供符合实验需求的高质量蛋白,助力泛素化机制研究与相关疾病治疗靶点探索。
4、膜蛋白
由于其结构复杂、疏水性强,膜蛋白的表达与纯化一直是生物领域的难点。青云瑞晶凭借先进的技术手段与丰富的项目经验,攻克膜蛋白表达难题,成功制备出可用于结构分析与功能研究的膜蛋白产品,为膜蛋白相关药物研发提供关键支持。
除上述几类蛋白外,青云瑞晶还可根据客户需求,针对各类具有特殊结构或功能的蛋白提供定制化表达服务,覆盖更多小众但重要的研究领域,全方位满足不同项目的个性化需求。
二、青云瑞晶蛋白表达服务的显著优势
相较于行业内其他蛋白表达服务提供商,青云瑞晶凭借技术创新与经验积累,形成了多方面的显著优势,为客户提供优质、高效的服务体验:
1、高纯度蛋白保障
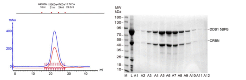
青云瑞晶以结晶标准制备蛋白产品,蛋白纯度大于90%,且具备高均一性和单分散性。高纯度的蛋白不仅能确保实验结果的准确性与可靠性,还能为蛋白结构解析等高精度研究提供坚实基础,帮助客户在项目推进中少走弯路。
2、丰富的蛋白库资源
依托数年的结构生物学项目经验,青云瑞晶自建了以靶点蛋白为核心的重组蛋白产品库,已成功表达300+种重组蛋白。丰富的蛋白库资源不仅体现了公司强大的技术实力,还能为客户提供更多选择,缩短项目周期,降低研发成本。同时,公司还在围绕创新药物研发所需的各类关键蛋白,不断拓展蛋白库规模,持续提升服务能力。
3、快速交付效率
在快节奏的科研与医药研发领域,时间是关键因素之一。青云瑞晶针对不同的表达系统优化流程,实现了高效交付:原核表达系统最快1周可交付,真核表达系统最快2周可交付。快速的交付效率能够帮助客户加快项目进度,抢占研发先机,在激烈的市场竞争与科研竞赛中占据优势。
4、灵活的定制化服务
不同客户的项目需求存在差异,对蛋白的纯度、活性、修饰方式等可能有着特殊要求。青云瑞晶充分考虑到这一点,提供灵活的定制化蛋白表达服务。无论是特殊的蛋白序列、特定的翻译后修饰,还是个性化的纯化标签选择,公司的技术团队都会与客户深入沟通,根据项目需求设计最合适的试验方案,全力满足客户的个性化需求,确保服务的精准性与有效性。
三、青云瑞晶蛋白表达服务的详细流程
青云瑞晶的蛋白表达服务流程严谨规范,每一个环节都经过精心设计与严格把控,确保最终获得高质量的蛋白产品,具体流程如下:
1、基因合成
基因是蛋白表达的基础,高质量的基因片段是实现高效蛋白表达的前提。青云瑞晶会根据客户给定的蛋白对应的基因编码序列,合成适于蛋白表达的基因片段。在基因合成过程中,公司会严格控制基因序列的准确性,避免因基因突变等问题影响后续的蛋白表达效果。
2、载体构建
载体作为基因的载体,其选择与构建直接影响基因的表达效率。青云瑞晶拥有多种类型的载体(质粒)可供选择,能满足不同基因的承载与表达需求。同时,公司还提供丰富的纯化标签,可根据蛋白纯化需求灵活搭配。在载体构建过程中,技术团队会广泛查阅文献记载,充分听取客户的特殊需求,结合自身丰富的经验,选择最合适的载体与纯化标签进行构建,确保基因能够在后续表达系统中高效表达。
3、载体转染
完成载体构建后,需要将构建好的载体转入合适的宿主细胞中,为蛋白表达做准备。青云瑞晶会根据所选的表达系统,选择对应的转染方法,确保载体能够高效、稳定地转入宿主细胞,减少转染过程中的细胞损伤,提高后续蛋白表达的成功率。
4、蛋白表达
青云瑞晶拥有原核、昆虫、哺乳动物细胞、酵母四大类成熟的表达系统,不同表达系统各具特点,适用于不同类型的蛋白表达需求。公司会根据客户所需蛋白的类型、结构特点、修饰需求以及后续应用场景,为客户推荐最合适的表达系统,确保蛋白能够高效表达且满足实验要求。
5、蛋白纯化
蛋白纯化是获取高纯度目标蛋白的关键步骤。青云瑞晶会先深入了解待纯化样品中目的蛋白及主要杂质的性质,包括蛋白质的来源、分子大小、等电点、稳定性(对温度、极端 pH、蛋白酶、氧和金属离子等的耐受性)等信息,然后设计最适的蛋白质纯化思路。
通过以上严谨、高效的服务流程,青云瑞晶的蛋白表达服务为科研与医药领域提供了高质量、多样化的重组蛋白产品,助力众多项目取得突破性进展。在未来,青云瑞晶将继续深耕结构生物学领域,不断优化蛋白表达技术与服务流程,为推动生物科技行业的发展贡献更多力量。









